Наклейки часто воспринимают как мелкую полиграфию, но у них есть редкое свойство. Они живут на вещах, которые человек берёт в руки каждый день, и поэтому…
Пробаланс как финансовая «подушка» в экстренных ситуациях: когда микрозайм — это разумно В непредвиденных обстоятельствах доступ к небольшим денежным средствам может стать решением проблемы. Микрозайм,…
Что такое мини кран-паук Мини кран-паук — это компактная самоходная подъемная машина с выдвижными опорами, которые напоминают паучьи ноги. Эти опоры выравнивают и стабилизируют кран…
Если вы ищете летние шины с хорошим соотношением цены и качества, то Виатти Боско наверняка попадёт в короткий список. Эти покрышки часто фигурируют в обзорах…
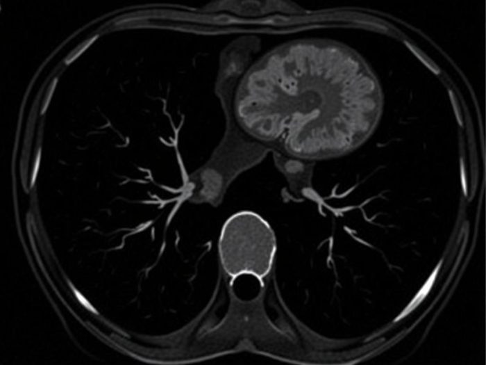
КТ печени с контрастом — это простой на вид, но важный инструмент в руках врача. Он помогает увидеть структуру органа, отличить доброкачественное образование от злокачественного…
Промышленные теплицы уже давно перестали быть чем-то фантастическим. Это не просто прозрачные коробки на краю города, а сложные экосистемы, где технологии работают на урожай. В…
Онлайн-казино привлекают яркими баннерами, обещаниями бонусов и простотой доступа — достаточно телефона и интернета, и стол с рулеткой уже у вас в кармане. Но за…






