КТ печени с контрастом: что это такое и как подготовиться, чтобы не терять шансов на правильный диагноз
КТ печени с контрастом — это простой на вид, но важный инструмент в руках врача. Он помогает увидеть структуру органа, отличить доброкачественное образование от злокачественного и оценить сосудистый рисунок. Для пациента процедура часто кажется загадкой: введут какое-то вещество, сделают снимки, и всё. На самом деле у этой истории есть свои этапы, правила и нюансы, знание которых помогает получить максимально точный результат.
В этой статье расскажу, зачем нужна контрастная КТ, как к ней подготовиться, что именно показывают разные фазы контраста и какие подводные камни стоит учитывать. Пишу простым языком и с практическими советами — чтобы вы могли прийти на исследование подготовленными и спокойными.
Что такое КТ печени с контрастом и почему он так важен
Компьютерная томография использует рентгеновские лучи и программную обработку, чтобы получить детальное изображение органов. Контрастное вещество, обычно йодсодержащее, усиливает видимость сосудов и тканей, делая различия между ними более заметными. Без контраста многие патологии выглядят схоже — с контрастом картина меняется, и врач видит свойства образования, его питание кровью и характер накопления вещества. Больше информации о том какая на КТ печени с контрастом цена, можно узнать пройдя по ссылке.
Особенно полезна КТ с контрастом при поиске небольших метастазов, при подозрении на гепатоцеллюлярную карциному или при оценке сосудистых аномалий. Она часто становится решающим шагом между «нужно наблюдать» и «нужно действовать», поэтому точность выполнения и правильная интерпретация имеют большое значение.
Показания к назначению
КТ печени с контрастом рекомендуют при самых разных клинических задачах. Ниже — основные из них. Этот список не абсолютный, но показывает, когда исследование действительно может изменить тактику лечения.
- Поиск метастаз при известной опухоли другой локализации.
- Подозрение на первичную опухоль печени, например гепатоцеллюлярную карциному.
- Оценка размеров, количества и сосудистого питания очагов перед операцией или абляцией.
- Контроль после лечения — операция, химиоэмболизация или радиочастотная абляция.
- Диагностика сосудистых нарушений: тромбоз воротной вены, аневризмы.
- Нестандартные случаи: травма печени, острые боли с подозрением на кровоизлияние.
Врач назначает конкретный протокол исследования, учитывая клиническую задачу. Протоколы могут отличаться по количеству фаз сканирования, скорости введения контраста и объему вещества.
Подготовка к исследованию: простые шаги, которые улучшают результат
Подготовка не требует героических усилий, но несколько простых правил стоит соблюдать. Они уменьшают риск осложнений и повышают качество снимков. Самое главное — сообщите врачу о хронических заболеваниях, аллергиях и принимаемых лекарствах.
Ниже — практическая памятка. Следуя ей, вы облегчите работу рентгенолога и получите более информативное исследование.
- Воздержитесь от еды за 4–6 часов до исследования. Пить воду обычно можно, но уточните у клиники.
- Сообщите про аллергию на йод или предыдущие реакции на контрастные вещества.
- Если у вас диабет и вы принимаете метформин, уточните у врача алгоритм временной отмены лекарства.
- Проверьте показатели функции почек (креатинин, eGFR). При сниженной функции может потребоваться иная стратегия.
- Принимайте привычные лекарства, если врач не запретил; захватите с собой список препаратов.
- При беременности или подозрении на нее обязательно сообщите об этом.
Как проходит исследование: шаг за шагом
Процедура обычно занимает от 10 до 30 минут активного времени в зале томографа, но подготовка и ожидание могут удлинить визит. Вас попросят лечь на стол томографа, установят капельницу для введения контраста и при необходимости подключат монитор для контроля состояния.
Контраст вводят струйно, с помощью автоматического инжектора. Сканируют в несколько фаз: каждая фаза показывает орган в разном «свете» — от раннего насыщения артерий до позднего вымывания вещества. Ниже таблица с типичными фазами и их значением.
| Фаза | Время от начала болюсного введения | Что показывает |
|---|---|---|
| Нативная (без контраста) | 0 минут | Базовая плотность тканей, кисты, кальцинаты |
| Артериальная | 20–30 секунд | Артериальное питание, выявление гиперваскулярных опухолей |
| Портальная венозная | 60–70 секунд | Почти вся печень «подсвечена», удобно видеть большинство метастаз |
| Отсроченная (паренхиматозная) | 3–5 минут и позже | Оценка вымывания контраста и некоторых типов поражений |
Некоторые клиники добавляют поздние фазы до 15 минут для оценки специфических образований, например гемангиом. Важно: для получения хороших снимков требуется соблюдение дыхательных инструкций, обычно вас попросят задержать дыхание на 10–15 секунд в моменты сканирования.
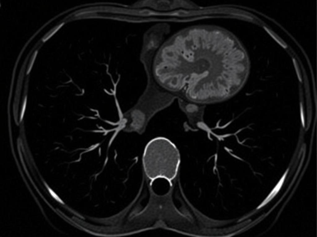
Что ищут на снимках и как различают основные образования
Интерпретация основана на том, как образование ведет себя в разных фазах. Ключевые признаки — плотность в нативной фазе, характер усиления в артериальной фазе и поведение в портальной фазе. Понимание закономерностей позволяет отличить, например, гемангиому от метастаза.
Ниже приводится краткая таблица типичных характеристик для часто встречающихся находок. Это обобщение, и всегда нужна клиническая корреляция с другими данными.
| Патология | Нативная фаза (HU) | Поведение при контрасте | Ключевая подсказка |
|---|---|---|---|
| Простая киста | ~0–20 HU | Без усиления | Чёткие края, жидкостная плотность |
| Гемангиома | ~20–40 HU | Периферическое узловатое усиление с центробежным заполнением | В позд. фазах часто равномерное накопление |
| Фокальная узловая гиперплазия (FNH) | ~40–60 HU | Гомогенное гипернасыщение в артериальной фазе, без явного вымывания | Центральный рубец у части случаев |
| Гепатоцеллюлярная карцинома (ГЦК) | Переменная | Артериальная гиперваскулярность и последующее вымывание в портальной/поздней фазах | Артериальное усиление с «wash-out» |
| Метастаз | Переменная | Часто гипо- или гипоусиление в портальной фазе; характер зависит от первичного очага | Множественные очаги, разная форма |
Важно помнить, что одно изображение редко дает однозначный ответ. Часто требуется сравнение с предыдущими снимками, анализ крови и, при необходимости, дополнительные методы, например МРТ с контрастом для уточнения диагноза.
Ограничения и возможные риски: что нужно помнить
КТ с контрастом — безопасная процедура для большинства людей, но у неё есть ограничения. Радиационная нагрузка и риск нефропатии при ухудшенной функции почек — две основные проблемы. Поэтому перед исследованием всегда проверяют показатели почек.
Ниже перечислены основные противопоказания и меры предосторожности, которые принимают в клиниках.
- Тяжёлая хроническая почечная недостаточность: решение принимают индивидуально, иногда используют альтернативы.
- Аллергия на йодсодержащее вещество — при анамнезе реакции проводят предварительную подготовку или выбирают другой метод.
- Беременность — по возможности исследование избегают, если нет неотложной показаний.
- Приёма метформина — по правилам препарат временно отменяют, при нарушении функции почек интервал восстановления контролируют анализами.
Аллергические реакции на контраст бывают редко и чаще легкие: кожный зуд, тошнота. Тяжёлая анафилактоидная реакция возможна, но клиники оборудованы для быстрой помощи. В случае подозрения на риск врач подберёт предмедикацию или альтернативу.
Альтернативы и дополнительные методы
Если КТ с контрастом противопоказана или нужна дополнительная информация, есть альтернативы. МРТ с печёночными препаратами даёт лучшую контрастную дифференциацию некоторых очагов, особенно при исследовании маленьких поражений. Ультразвуковое исследование с контрастом (CEUS) позволяет детально оценивать кровоток в конкретном очаге.
Преимущества и ограничения разных методов удобно представить в виде списка, чтобы понимать, когда что предпочтительнее.
- МРТ: высокое мягкотканное разрешение, отсутствие ионизирующего излучения, высокая чувствительность к малым очагам.
- УЗИ с контрастом: быстро, безопасно, хорошо при оценке отдельного узла, но ограничено в обзоре всего органа.
- ПЭТ-КТ: информативна при некоторых опухолях для оценки системного метастазирования.
Практические советы перед визитом на КТ
Небольшой перечень полезных рекомендаций, которые облегчат прохождение исследования и снизят вероятность ошибок в результатах.
- Возьмите с собой прошлые снимки и выписки — это существенно экономит время и делает интерпретацию точнее.
- Одевайтесь удобно и без металлических украшений в зоне живота.
- Если боитесь контраста, заранее обсудите с врачом варианты предмедикации.
- После исследования пейте больше воды, чтобы помочь выведению контраста почками, если врач не дал других указаний.
Соблюдение этих простых правил улучшит качество диагностики и снизит стресс. Врач и персонал обычно объясняют каждый этап, поэтому не стесняйтесь задавать вопросы перед началом.
Заключение
КТ печени с контрастом — информативный и широко доступный метод, который помогает решать сложные диагностические задачи. При правильной подготовке и соблюдении противопоказаний исследование даёт ценную информацию о природе очагов, их кровоснабжении и динамике. Если вам назначили КТ печени с контрастом, следуйте рекомендациям клиники, приносите предыдущие данные и обсуждайте с врачом все сомнения. Это позволит получить максимально полезный результат и ускорить правильное решение по лечению.
